Sağlık Haber - Denizli'de yaşayan 39 yaşındaki M.G., boyunun 1.58 olmasından kaynaklı fiziksel ve bedensel sorunların yaşadığını, daha uzun bir görünüme kavuşmak ve yaşam kalitesini artırmak amacıyla Özel hastaneye başvurdu. Hasta uzun yıllardır boyunun kısalığının gerek günlük yaşamda gerekse sosyal çevresinde çeşitli zorluklara yol açtığını dile getirdi. Aynı zamanda duruş bozukluğu ve bazı fiziksel rahatsızlıklar nedeniyle uzman bir hekime danışma kararı alan M.G., hastanenin Ortopedi ve Travmatoloji bölümünde görev yapan iki uzman doktora başvurdu. Ortopedi ve Travmatoloji Uzmanı Prof. Dr. Mahmut Argün ve Op. Dr. Necip Özateş tarafından detaylı şekilde muayene edildi. Doktorlar tarafından yapılan değerlendirmeler sonucu, hastanın ortalama 10 santimetre daha uzamasının mümkün olduğu belirtildi.

"Ameliyat ve uzama işlemleri meşakkatli ve özen isteyen süreçtir"
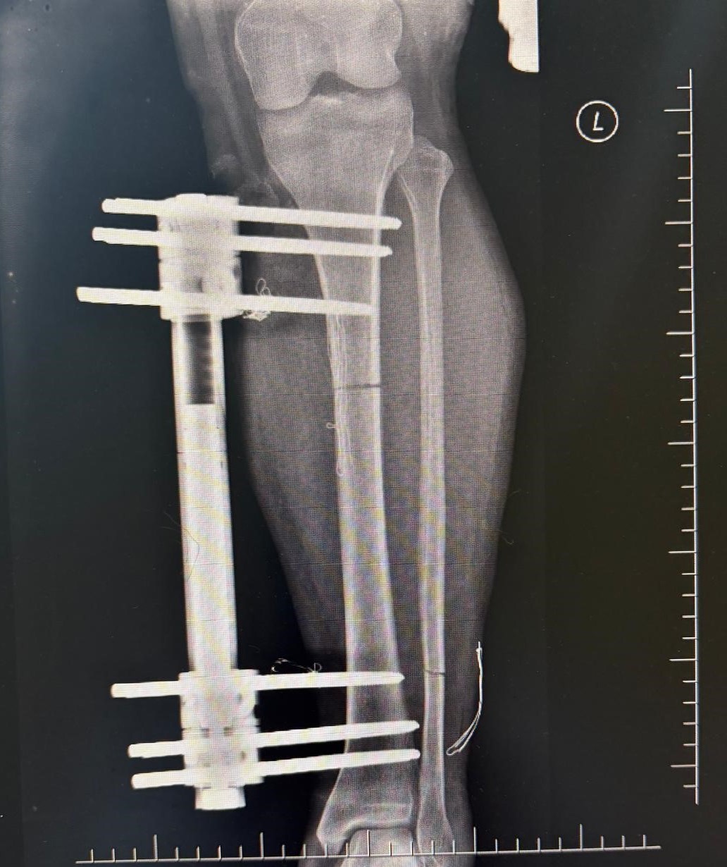
Ameliyat aşamasının ardından gerçekleşen süreci tek tek dile getiren Ortopedi ve Travmatoloji Uzmanı Prof. Dr. Mahmut Argün, "Hastamız 1.58 boyunda olması nedeniyle sürekli boyunun kısalığından dolayı hem fiziksel hem de bedensel rahatsızlıkların olduğunu dile getirdi. Israrla boyunun uzatılmasını bizden talep eden hasta 2 aşamalı olunması gereken muayeneyi 1 aşamalı olmasını istedi. Sol tarafından başlayarak hem femur hem de tibia 5 ila 6 santimetre arasında uzatmayı planladık. Hastamızı ameliyata alıp bu işlemleri gerçekleştirdik. Hasta şuanda uzatma işlemlerinin yapılabilmesi için malzeme yerleştirme aşamasını gerçekleştirdik. Ameliyattan 10 gün sonra uzatma işlemlerini başlayacağız. Uzatma işlemleri yaklaşık 60 gün sürecek. Uzatma işlem süreci geçtikten sonra işlemi durdurup kaynaması için 2-3 ay bekleyeceğiz. Ardından ise hastanın üzerinden malzemeleri yaklaşık 150-200 gün arasında çıkaracağız. Bu tarz işlemler meşakkatli ve özen isteyen ameliyatlar" diye konuştu.
Uzama sürecinde her gün 1 milimetre olmak üzere kurulan mekanizmanın başladığını dile getiren Ortopedi ve Travmatoloji Uzmanı Op. Dr. Necip Özateş, "Her gün 1 milimetre olmak üzere, üzerindeki mekanizma üzerinden hem uyruk kemiği hem kaval kemiği uzatılmaya başlıyor. Hem bu şekilde kemik uzaması hem de bu esnada kemik kaynaması aynı anda olduğu için daha kontrollü bir işlem oluyor. Hedef uzunluğa ulaştığımızda uzatma işlemini sonlandırıyoruz. Sonrasında da kemiğin kaynaması sürecine geçiyoruz" dedi.
"Süreçlerin sonunda gayet iyi sonuçlar elde ediyoruz"
İlk 4 hafta üzerine bastırmadıklarını ardından ise kontrollü bir şekilde sürecin ilerlediğini belirten Op. Dr. Necip Özateş, "İlk etapta ameliyatın erken dönemlerinde ilk 4 haftaya kadar üzerine bastırmıyoruz. Ondan sonraki günlerde yavaş yavaş hasta koltuk değnekleri yardımı ile destek alarak üzerine basmaya ve günlük yaşantısına daha rahat devam etmeye başlıyor. Yapılan ameliyat bir vatandaşın günlük hayatına etkileyen bir şey değil. Bu süreç hastanın da bilgisi dahilinde özen ve biraz daha sabır gerektiren bir süreç. Bu konuda hastayla fikirde varıldığı zaman gayet iyi sonuçlar elde ediyoruz" ifadelerini kullandı.





