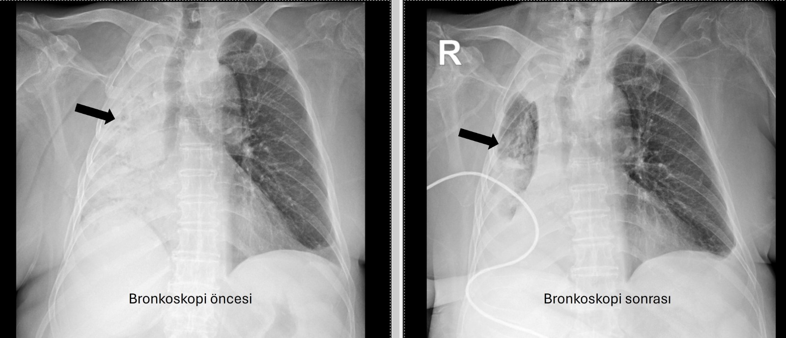
Sağlık Haber - PAÜ Hastaneleri Göğüs Hastalıkları Anabilim Dalı Öğr. Üyesi Prof. Dr. Göksel Altınışık Ergur, yaptığı açıklamada şu bilgileri paylaştı: “Hava yollarına yabancı cisim kaçması, genellikle ani ve beklenmedik kazalar sonucu ortaya çıkar. Normalde yemek borusu ile soluk borusu arasında yer alan epiglot adlı kapak, gıdaların yanlışlıkla hava yollarına kaçmasını önler. Ancak gülme, konuşma gibi durumlarda ya da yatar pozisyonda beslenen bakım hastalarında bu koruyucu mekanizma devre dışı kalabilir. Kuru yemiş, nohut, sıvı gıdalar, iğne, diş protezi gibi yabancı cisimler hava yollarına kaçtığında öksürük refleksi devreye girerek güçlü şekilde tepki verir. Cisim büyüklüğü ve tıkadığı bölgeye bağlı olarak nefes darlığı, morarma ve hatta ölüm meydana gelebilir. İlk aşamada Heimlich manevrası ya da öksürükle cisim dışarı atılamazsa, bronkoskopi ile müdahale gerekir. Bu işlem genellikle genel anestezi altında rijit bronkoskop adı verilen metal bir tüple gerçekleştirilir. Yabancı cismin çıkarılmaması durumunda, akciğerde hava giriş çıkışının durması sonucu sönme (atelektazi) ve dirençli enfeksiyonlar gelişebilir. Bu da kalıcı akciğer hasarına yol açabilir. Yabancı cisim aspirasyonları sadece çocuklarda değil, yetişkinlerde de görülür. Erken tanı ve doğru müdahale, hayat kurtarıcı olabilir. Hava yoluna mısır kaçan hastamız 78 yaşında, emekli öğretmen olan bir kadın hastaydı. Son 11 yıldır beyin damarında tıkanma sonucunda felçli olarak evde bakımı yapılmaktaymış. Bilinci yerinde olsa da günlük aktivitelerini yerine getiremeyecek şekilde yatağa bağımlı bir hayat sürmekteydi. Aynı zamanda kalp yetmezliği ve epilepsi için de tedavileri süren hasta, son aylarda sık sık akciğer enfeksiyonu nedeniyle hastane yatışları olmuş ve bundan bir ay önce başka bir merkezde bronkoskopi işlemi de yapılıp sorun saptanmamış. Yatağa bağımlı bakım hastalarında sık enfeksiyon riski yüksek olduğu için bu süreçte onların tedavisini hastanede yatış yapılarak alması, bronkoskopinin de yapılması uygun yaklaşımlardır. Tekrarlayan enfeksiyon tablolarının bir yenisiyle en son başvurduğu hastanede, sağ akciğerin tamamen kapalı olduğunu gösteren tomografi bulgusu ile ileri inceleme için hastamız bize sevk edildi.”

Prof. Dr. Göksel Altınışık Ergur: “Heimlich manevrası hayat kurtarır”
Önceki tetkiklerinden, sağ akciğere giden hava yolunun bütünüyle kapalı olduğu görülen hastaya acil bronkoskopi planlanıp hemen işlemin gerçekleştirildiğini söyleyen Prof. Dr. Altınışık Ergur, hastanın tıbbi öyküsünde hava yoluna yabancı bir cisim kaçma kuşkusu, ardından öksürük, morarma ve ani nefes darlığı gibi bir durum olmadığını ve bu nedenle sorunun ne olduğunun anlaşılması gerektiğini belirten Prof. Dr. Altınışık Ergur sözlerine şöyle devam etti: “Fleksibl (esnek, eğilip bükülebilir) bronkoskop ile hava yolları incelenirken çok yoğun ve koyu sekresyon olduğu, bunun iyice temizlenmesi sonucunda ancak hava yollarının incelenebileceği görüldü. Aspiratör (içerideki salgıları emmeye yarayan bir cihaz) sayesinde hava yollarına steril sıvı verilip emilerek bu temizlik yapıldı. Sonrasında sağ akciğere giden hava yolunda sarı bir nesne olduğu görüldü. Bu hâliyle yabancı cisim olduğu anlaşıldığı gibi bunun mısır tanesine benzerliği de açıktı. Yabancı cismi çıkarma işlemi genel anestezi altında, rijit bronkoskop ile yapılmak üzere planlanabilirdi; çünkü bu durumun tedavisi yabancı cismin oradan, ek sorun oluşturmaksızın çıkarmaktı. Ancak, genel anestezi altındaki bir işlem için hastanın genel durumu bozuk olduğundan, özellikle ek hastalıkları ve enfeksiyon varlığı ile işlem riski artacağından hastadaki cismin fark edildiği sırada çıkarılmasına şans vermek daha uygun görüldü. Hava yolu içindeki sıvıları emen aspiratörün gücünü kullanılarak cismin çıkarılması mümkündü. Bronkoskobun ucu, sarı cismin gövdesine dayanıp aspiratör ile emme sayesinde ikisi birbirine sımsıkı yapıştırıldı. Emme gücünün azaltılmamasına dikkat ederek yabancı cisim ve bronkoskop, aynı zamanda hava yollarından dışarıya başarı ile çıkarıldı. İşlem sonrasında hasta yakınına mısır tanesi açısından tıbbi öykü yeniden sorulduğunda, hastamızın bundan beş ay önce yediği pizzanın üzerinde mısır taneleri olduğu öğrenildi. O sırada ani bir yakınma ortaya çıkmadığı için böyle bir olasılık akla gelmemişti. Düşkün hastalar taneli gıdalar yerken, bu durumun fark edilmeden de gelişebileceğini göstermesi açısından önemli olan bu tablo, hastaların bir dedektif titizliği ile değerlendirilmesi gerekliliğini bir kez daha ortaya koymaktadır.” şeklinde konuştu.





